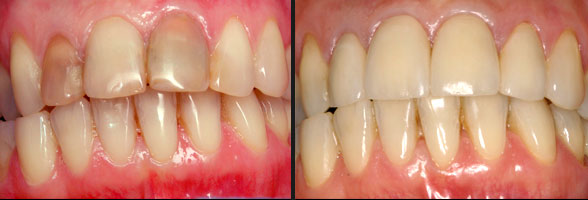
Esthétique Dentaire

Vous souhaitez retrouver un sourire, des dents naturelles d’aspect, tout en les conservant les plus intègres possible. Vous pouvez alors profiter des dernières technologies de collage esthétique. Leur mise en œuvre doit suivre des protocoles stricts, respectés par le Dr. MARCIANO, qui assurent la beauté, la qualité et la longévité du cosmétique.

Grâce à la présence contiguë au cabinet du laboratoire de Monsieur Pierre, vous pouvez bénéficier d’une ultra-personnalisation de votre traitement (finition de la céramique au fauteuil) et également d’une réactivité immédiate en cas d’urgence cosmétique, grâce à laquelle vous ne sortirez jamais sans dent de notre cabinet.

Les cookies assurent le bon fonctionnement de notre site Internet. En continuant votre navigation, vous acceptez leur utilisation.En savoir +J'accepte