Implantologie Dentaire
-
![Photographie - Perte de la dent et perte osseuse]()
Perte de la dent et perte osseuse
-
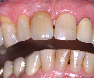
![Photographie - Greffe osseuse et couronne sur implant]()
Greffe osseuse et couronne sur implant
Vous avez perdu une dent
Il est impératif de remplacer la dent perdue pour l’équilibre de votre bouche et/ou pour l’esthétique. En choisissant d’éviter de tailler, et donc de fragiliser les dents voisines, pour réaliser un bridge et de la remplacer par une couronne sur un implant, vous décidez de préserver votre denture dans le temps.
-
![Radiographie - Sinus lift et bridge sur 3 implants]()
Sinus lift et bridge sur 3 implants
-
![Photographie - Le bridge cosmétique sur 3 implants]()
Le bridge cosmétique sur 3 implants
Vous avez perdu plusieurs dents
En choisissant la solution implantaire fixée, vous préservez votre denture encore existante et évitez le port d’un appareil à crochets plus disgracieux et moins confortable.
-
![Radiographie - 2 bridges complets sur implants]()
2 bridges complets sur implants
-
![Photographie - Un sourire retrouvé]()
Un sourire retrouvé
Il vous manque toutes les dents
Vous souhaitez limiter l’inconfort de la prothèse complète mobile ? Deux implants à la mâchoire du bas pourront créer une rétention secondaire. Certes, vous restez en prothèse amovible, mais elle est stabilisée. Il s’agit du traitement minimal recommandé par un consensus médical de 2001 en cas d’édentement complet.
Vous pouvez bien entendu opter pour la réalisation d’un bridge ostéo-ancré fixe. Vous pouvez ainsi vous voir parler, chanter, rire, mâcher, éternuer sans que votre prothèse dentaire ne risque de se détacher. Vous avez choisi de la visser sur 4 implants au minimum.





